• Facial Bones
    • Face
    • Chin
    • Head
    • etc
  • Clinical Trial
  • Case Study
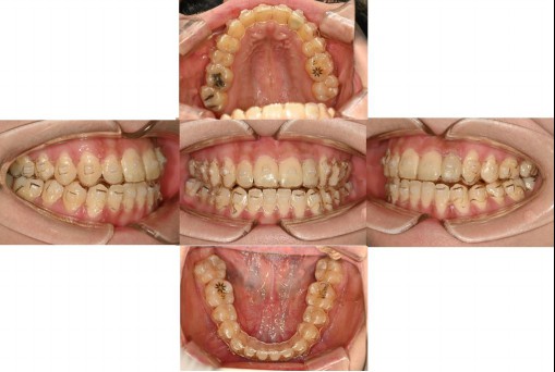
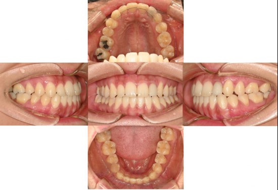
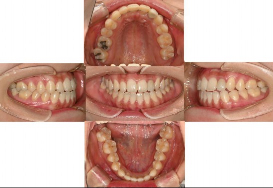
Does this look like ordinary orthodontic treatment to you?
9월 27, 2025
Dentists around the world must recognize that treating patients based on the conventional habitual jaw position can significantly impact their lives.
9월 27, 2025












TMJ Treatment and Change:
When will we be ready to embrace it?
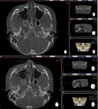
Temporomandibular joint (TMJ) treatment has had many proposed methods over time, but there does not yet seem to be a method that has definitively proven effective for the whole body.
Not long ago, a practicing physician from Prague visited my clinic during orthodontic bracket treatment. She was diagnosed with facial asymmetry and body misalignment, and experienced MCB splint therapy. She was aware that bodily misalignment is related to asymmetry in the facial bones.
Yesterday, a person from Canada came in; this individual had undergone extraction orthodontics and whom I had consulted with online three years ago.
There are many around the world—including in Korea—who claim not only to treat TMJ or craniofacial structures, but to treat systemic disorders. Most of them use applied kinesiology for diagnosis and treatment. I myself served for five years as a dental director in a Korean applied kinesiology organization. It is a good discipline. Yet many people—including in Korea—have not gone beyond the level of using applied kinesiology. For example, in the case of the TMJ: applied kinesiology can determine which side of the joint is problematic, and can evaluate how effective a TMJ device is. However, it cannot reveal the direction of asymmetry between the right and left TMJs, or the detailed joint motion. The way to know those is through osteopathic medicine. In Korea, there is almost no practice of osteopathy. 99% of the population do not know the word “osteopath,” and few have experienced osteopathic treatment. It takes a long time to understand the motility of the TMJ.
I have devoted my life to performing orthodontic treatment for people with TMJ problems. Even in the United States, where osteopathy was born and has developed, it seems that almost no one applies the concept of osteopathy when fabricating splints for the TMJ.
Dentistry still remains dominated by the concept of CR (Centric Relation). Many osteopathic physicians have long claimed that the temporal bones move, and treat on that basis, yet the mainstream thinking has not changed. Many dentists still believe that if the mandible (lower jaw) is asymmetric or if the lengths on the right and left differ, surgery is required, and they in fact treat by surgery.
When will this way of thinking about the TMJ change?
#mcbsplint #invisalignjinhaeng #kchewie
Share

“A wonderful serenity has taken possession of my entire soul, like these sweet mornings of spring which I enjoy with my whole heart. I am alone, and feel the charm of existence in this spot, which was created”

© 2022 DrJinhaengLee All Rights Reserved