Case Study
Dentists around the world must recognize that treating patients based on the conventional habitual jaw position can significantly impact their lives.
The MCB Splint comes from your teaching.
Face
Face
Does this look like ordinary orthodontic treatment to you?
The MCB Splint comes from your teaching.
Face
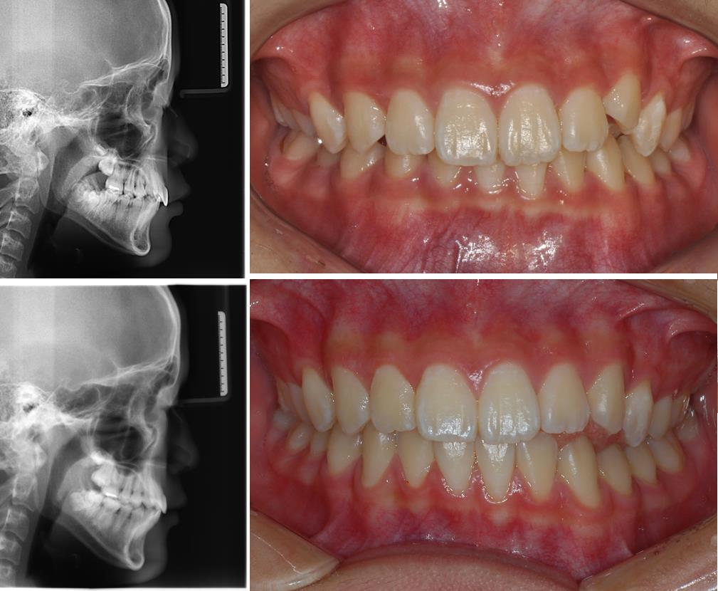
Comparison between MCB-concept Invisalign and conventional Invisalign at other dental clinics .
The MCB Splint comes from your teaching.
Face
What kind of treatment can be applied to the concept of MCB splint to improve the movement of the skull during dental treatment?
The MCB Splint comes from your teaching.
Face
Diagnostic Significance of Horizontal Condylar Angle(HCA) in Malocclusions with Degenerative TMJ Disease.
The MCB Splint comes from your teaching.
Chin
chin
Should I have double jaw surgery, which is currently being done worldwide?
At the first visit, the bone thickness of the maxilla was too thick,
chin
Neuromuscular physiological position/MCB splint position.
A bite was registered in a neuromuscular physiological position with a jaw tracker.
chin
UnderBite Treatment!!!
Why were there changes? The upper and lower jaws are part of the skull. The upper jaw is most often misaligned with...
chin
Problems in the current lower jaw surgery (BSSO) treatment.
Problems in the current lower jaw surgery (BSSO) treatment. The proprioceptors in the human TMJ play an important key role in the...
Head
Head
Is there a position of the lower jaw that normalizes the movement of the skull?
The MCB Splint comes from your teaching.
Head
International Insurance covering OSTEO: AXA, Cigna, GMC, CFE, Aetna, GEO BLUE, Allianz, Bupa, AVIVA, PRUHEALTH, etc
The MCB Splint comes from your teaching.
Etc
etc
Started New Job at GSB Orthodontic clinic June 30, 2022 — GSB Orthodontic clinic Seoul, Korea
The MCB Splint comes from your teaching.



